Медики спасли 100-летнюю омичку с температурой 40 градусов

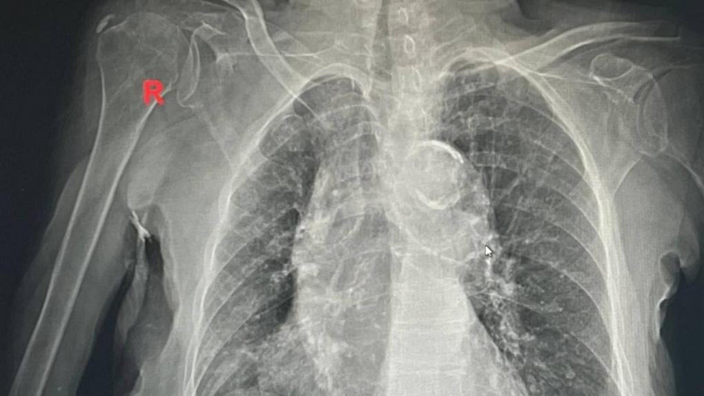
У бабушки обострился хронический бронхит.

У бабушки обострился хронический бронхит. Фото: Снимок предоставлен заведующим пульмонологическим отделением ГКБ №1 Эдуардом Капраловым

Пару недель назад в  ГКБ №1 имени Кабанова поступила 100-летняя бабушка с  обострением хронического бронхита лёгких, рассказали в  Минздраве Омской области. Женщина болела в  течение пяти дней и  в  один момент почувствовала, что  ей стало хуже  — у  неё поднялась температура до  40  градусов. После этого муж правнучки вызвал скорую и  привёз бабушку в  больницу.

В  течение четырёх дней медики делали всё, чтобы ей помочь. И  им удалось  — омичку выписали домой в  удовлетворительной состоянии. Врачи передали бабушку в  руки родственников для  долгожданной встречи с  праправнуком.

 

Последние новости

Утилизация автомобильных шин.

Уважаемые омичи, с 27 октября по 2 ноября в Омске пройдет акция «Второй заезд» по сбору изношенных автошин.

Собрание жителей.

На территории ТОС «Загородный» состоялось собрание жителей дома № 8. На повестке дня стоял вопрос о текущем и капитальном ремонте дома.

В единстве - наша сила.

Актив комитета ТОС "Первокирпичный" приглашает на мероприятие, посвященное Дню народного единства.

Коррекция фиброза и возрастных изменений: когда показан эндотканевой лифтинг

Как современная технология помогает вернуть коже упругость, убрать отёки и улучшить рельеф без хирургии

На этом сайте представлены актуальные варианты, чтобы снять квартиру в Магнитогорске на выгодных условиях

Комментарии (0)

Добавить комментарий

Ваш email не публикуется. Обязательные поля отмечены *