Здоровье

Омские пульмонологи спасли 100-летнюю пациентку от тяжелого бронхита

Омские пульмонологи спасли 100-летнюю пациентку от тяжелого бронхита

Пожилая женщина поступила в больницу с температурой около 40 градусов. Омский минздрав рассказал о том, как пульмонологи клинической больницы №1 имени Кабанова помогли 100-летней пациентке.

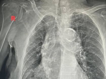
Медики спасли 100-летнюю омичку с температурой 40 градусов

Медики спасли 100-летнюю омичку с температурой 40 градусов

У бабушки обострился хронический бронхит.

Родные забили тревогу. Медики спасли 100-летнюю омичку с 40-градусной температурой

Родные забили тревогу. Медики спасли 100-летнюю омичку с 40-градусной температурой

В Омске медики спасли 100-летнюю пенсионерку с 40-градусной температурой Спустя четыре дня женщину уже выписали домой.

Мама девочки с редким неизлечимым заболеванием рассказала о своей жизни

Мама девочки с редким неизлечимым заболеванием рассказала о своей жизни

Её 12-летняя дочь Даша страдает синдромом Эдвардса. Фото: "МегаТюмень" Семья девочки со страшным диагнозом рассказала о своей жизни.

Эпидситуация по гриппу и ОРВИ стабилизировалась, но маску лучше носить - глава Роспотребнадзора Попова

Эпидситуация по гриппу и ОРВИ стабилизировалась, но маску лучше носить - глава Роспотребнадзора Попова

По словам главы ведомства, цифры еще достаточно высокие. Александр Румянцев Эпидемическая ситуация по гриппу, ОРВИ и коронавирусу в России стабилизировалась, сообщила РИА «Новости» глава Роспотребнадзора Аннна Попова.

ГРАФИК РАБОТЫ В ПРАЗДНИЧНЫЕ ДНИ 

ГРАФИК РАБОТЫ В ПРАЗДНИЧНЫЕ ДНИ 

Коллектив КДЦ поздравляет всех мужчин с наступающим Днем защитника Отечества!

В праздничные дни омские медучреждения будут работать в особом режиме

В праздничные дни омские медучреждения будут работать в особом режиме

В больницах пациентов принимают дежурные терапевты и педиатры. По информации регионального минздрава, 23, 24 и 25 февраля омичи смогут вызвать врача на дом с 9:00 до 14:00.

В праздничные дни омские медучреждения будут работать в особом режиме

В праздничные дни омские медучреждения будут работать в особом режиме

В больницах пациентов принимают дежурные терапевты и педиатры. По информации регионального минздрава, 23, 24 и 25 февраля омичи смогут вызвать врача на дом с 9:00 до 14:00.

В Омске на ТЭЦ-5 запустили резервное оборудование

В Омске на ТЭЦ-5 запустили резервное оборудование

Накануне в подаче тепла из-за поломки котла произошёл сбой. Температура в части домов омичей опустилась до +20 градусов.

Диспансеризация может спасти омичей от проблем с сердцем

Диспансеризация может спасти омичей от проблем с сердцем

В зоне риска - те, кому за сорок. С 19 по 25 февраля в России проводится неделя информированности о значении диспансеризации и профессиональных медицинских осмотров,